최근 연예인이나 지인 중 뇌동맥류로 수술을 받았다는 소식을 접한 적 있으신가요?
겉으로 아무런 증상도 없었는데 갑자기 뇌출혈이 생겼다거나,
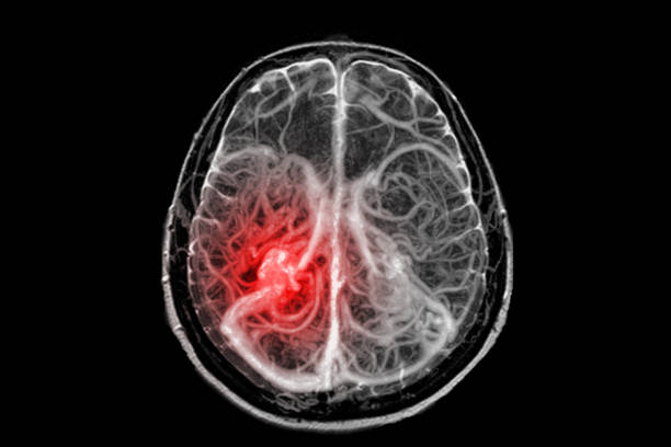
MRI 검사에서 우연히 발견되었다는 이야기, 생각보다 흔합니다.
그 주인공이 우리 가족이나 나 자신이 될 수도 있다는 사실, 알고 계셨나요?
오늘은 생명을 위협할 수 있는 ‘뇌동맥류’,
그리고 조기에 발견하기 위한 뇌동맥류 검사에 대해 자세히 알아보겠습니다.

🧩 뇌동맥류란?
**뇌동맥류(Brain Aneurysm)**란
뇌혈관 벽이 약해져 풍선처럼 부풀어오른 상태를 말합니다.
쉽게 말해, 혈관이 터지기 직전의 불룩한 혹이라고 생각하면 이해하기 쉽습니다.
대부분의 뇌동맥류는 처음엔 아무런 증상이 없습니다.
하지만 파열되면 뇌출혈로 이어져 생명까지 위협할 수 있어
‘조용한 시한폭탄’이라 불리기도 합니다.
⚠️ 파열되면 어떤 일이 생기나요?
- 극심한 두통 (벼락 맞은 듯한 통증)
- 구토, 의식 저하
- 사지 마비, 언어장애
- 심할 경우 혼수상태 또는 사망까지
❗ 치명률이 30~40%, 후유증 가능성도 매우 높습니다.
그래서 증상이 없을 때 미리 발견하는 것이 중요합니다.
🔍 뇌동맥류 검사는 왜 필요할까?
- 조기 발견만이 유일한 예방 방법
– 뇌동맥류는 대부분 파열 전까지 아무 증상도 없습니다.
– 정기적인 검진 없이는 발견이 어렵습니다. - 고위험군은 발병률이 높음
– 고혈압, 당뇨, 흡연자
– 가족력(부모나 형제가 뇌동맥류나 뇌출혈 병력)
– 50세 이상 중장년층 - 조기 발견 시, 비파열 상태로 안전하게 관리 가능
– 파열 전에 발견하면 비침습적 수술이나 경과 관찰이 가능하여
후유증 없이 치료할 수 있는 확률이 높습니다.
🧪 뇌동맥류 검사 방법
현재 뇌동맥류를 확인하는 대표적인 검사는 다음과 같습니다.
1. 뇌 MRA (Magnetic Resonance Angiography)
- 자기공명 혈관 조영술
- MRI 장비로 혈관의 흐름을 관찰
- 조영제를 쓰지 않아 비교적 부담이 적음
장점
✔ 방사선 노출 없음
✔ 비교적 간단하고 비침습적
✔ 조기 발견에 매우 유용
단점
✖ 3mm 이하의 아주 작은 동맥류는 놓칠 수 있음
✖ 폐쇄공포증이 있는 사람은 어려울 수 있음
2. 뇌 CT 혈관조영술 (CTA)
- 컴퓨터단층촬영(CT)에 조영제를 주입하여 혈관을 촬영
- 혈관의 세밀한 형태 확인 가능
장점
✔ 빠른 촬영 시간
✔ 비교적 정확한 영상 확보
단점
✖ 조영제 사용 → 신장 질환자에게 부담
✖ 방사선 노출 있음
3. 뇌혈관 조영술 (DSA)
- 가장 정확한 검사법
- 대퇴부(허벅지) 혈관에 관을 삽입해 뇌혈관으로 조영제를 주입 후 촬영
장점
✔ 아주 작은 뇌동맥류도 정확히 확인 가능
✔ 시술 중 바로 치료 병행 가능
단점
✖ 입원이 필요할 수 있음
✖ 출혈이나 감염 등의 위험 존재
✖ 비용 부담과 시술 부담이 큼
⏰ 뇌동맥류 검사는 언제 받아야 하나요?

✅ 다음 항목 중 1개라도 해당되면 검사를 고려해보세요.
- 50세 이상, 특히 60세 이상 중장년층
- 고혈압, 당뇨병, 고지혈증 등 만성질환 보유
- 가족 중 뇌출혈 또는 뇌동맥류 병력이 있는 경우
- 흡연자, 과음자
- 최근 갑작스러운 두통, 시야 흐림, 어지럼증 경험
💬 검사 전 알아둘 점
- 검사 전에 반드시 전문의 상담을 받으세요.
- 조영제 알러지가 있는 분은 CT보다는 MRA가 더 적합할 수 있습니다.
- 공복이 필요한 경우도 있으므로 검사 전 병원 안내를 확인하세요.
💡 뇌동맥류는 조용히 다가옵니다
우리는 심장 건강, 혈압, 혈당에는 비교적 관심을 많이 가지지만
‘뇌혈관’은 여전히 관심 밖입니다. 하지만 뇌동맥류는
증상 없이 찾아왔다가, 파열되는 순간 심각한 후유증을 남길 수 있는 질환입니다.
📝 마무리하며
뇌동맥류는 치료보다 조기 발견이 더 중요한 질환입니다.
특히 위험 요인이 있는 분이라면, 한 번쯤 검사를 고려해보세요.
간단한 MRA 촬영만으로도 치명적인 질환을 예방할 수 있는 기회가 됩니다.
건강은 조용히 준비하는 사람의 것입니다.
당신의 뇌는 검사받을 가치가 있습니다. 지금 확인해보세요.
'건강' 카테고리의 다른 글
| 필링젤 사용법 주기 부작용 총정리 (2) | 2025.05.24 |
|---|---|
| 변 볼 때 피? 치질 초기 증상 자가 치료법 (2) | 2025.05.24 |
| 장뇌삼 먹는 법과 효능, 제대로 알고 드세요! (3) | 2025.05.21 |
| 레몬 디톡스 다이어트, 정말 효과 있을까? 부작용 없이 제대로 하는 방법! (4) | 2025.05.21 |
| 기억력이 자꾸 흐려진다면? 치매 검사, 미루지 마세요 (2) | 2025.05.19 |